レビー小体型認知症(DLB)を発見したのは、小阪憲司先生(2023年3月16日ご逝去)です。この連載コラムでは、小阪憲司先生の業績を中心に、DLB診療の進歩について、医療・医学に詳しくない方でも理解しやすいように努めて記述していきたいと思います。(文責:鵜飼克行、総合上飯田第一病院・老年精神科・部長)
連載:第10回
パーキンソン病と認知症の関連についての論争(その2)
1976年、小阪憲司先生は、大脳皮質に多くのレビー小体を認める認知症の症例を英文で報告しました。

さらに2年後の1978年、小阪先生は同様の3症例を報告し、その中で、(1) 脳幹(黒質)と大脳皮質のレビー小体の比較、(2) レビー小体と神経細胞死との関連、(3) レビー小体が扁桃核(神経細胞が密集している神経核の1つです)にも好発すること、などを主張しました(数々の証拠を挙げて「レビー小体」と断定して、国際的に認められました)。
これは、レビー小体と認知症との関連を医学史上初めて提起した論文でした(小阪先生の博士論文です)。

鵜飼先生
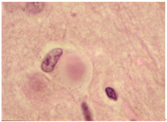
この画像は小阪憲司先生に提供していただいた画像です(現在はご遺族に了承をいただいている)
鵜飼先生
どこにレビー小体があるか、分かりますか?
黒質のレビー小体(連載5の図2)に比べると、かなり不明瞭です。だから、黒質のレビー小体が発見されてから60年以上も、誰も気が付かなかったのですね。
レビー小体に押されて、神経細胞の核が左上に圧排されて、ひしゃげています。
連載第10回はここまでとします。第11回で、またお会いしましょう。
レビー小体型認知症スマイルニュース
